Τι ορίζεται ως καρδιακή ανεπάρκεια;
Η καρδιακή ανεπάρκεια είναι ένα σύνθετο και ετερογενές κλινικό σύνδρομο, το οποίο χαρακτηρίζεται από κύρια συμπτώματα όπως δύσπνοια, οίδημα στα κάτω άκρα και κόπωση κατά τη προσπάθεια , τα οποία μπορεί να συνοδεύονται από επιπρόσθετα κλινικά ευρήματα. Αυτά οφείλονται σε ανατομικές βλάβες ή λειτουργικές διαταραχές της καρδιάς, που οδηγούν σε αυξημένες ενδοκαρδιακές πιέσεις ή ανεπαρκή καρδιακή παροχή, είτε σε ηρεμία είτε κατά την άσκηση
Η καρδιά αδυνατεί να αντλεί επαρκώς αίμα, ώστε να καλύψει τις ανάγκες του σώματος σε οξυγόνο και θρεπτικά συστατικά. Η δυσλειτουργία αυτή μπορεί να αφορά είτε τη φάση της συστολής είτε τη φάση της διαστολής της.
Μπορεί να εμφανιστεί αιφνίδια, όπως μετά από έμφραγμα, ή να εξελίσσεται σταδιακά ως χρόνια πάθηση. Πρόκειται για μια δυναμική κατάσταση που απαιτεί συνεχή ιατρική παρακολούθηση και προσαρμογή της θεραπείας.
Είναι μια σοβαρή και ενδεχομένως απειλητική για τη ζωή κατάσταση και μπορεί να οδηγήσει σε σημαντικές επιπλοκές, εάν δεν αντιμετωπιστεί έγκαιρα και σωστά.
Ποια είναι τα αίτια εμφάνισής της;
Η καρδιακή ανεπάρκεια μπορεί να έχει ποικίλα αίτια, πέραν της στεφανιαίας νόσου. Ανάμεσα στα συχνότερα περιλαμβάνονται η αρτηριακή υπέρταση, ιδιαίτερα όταν είναι χρόνια και ανεπαρκώς ρυθμισμένη, καθώς και οι παθήσεις των καρδιακών βαλβίδων, είτε εκφυλιστικής είτε συγγενούς αιτιολογίας.
Ιδιαίτερα σημαντικό ρόλο διαδραματίζουν και οι καρδιομυοπάθειες, όπως η υπερτροφική, η συμπιεστική , αλλά και μορφές που σχετίζονται με την κύηση ή την τοξική επίδραση ουσιών.
Επιπλέον, η καρδιακή ανεπάρκεια μπορεί να προκληθεί από:
- σοβαρές αρρυθμίες
- συγγενείς καρδιοπάθειες
- λοιμώξεις (όπως η ιογενής μυοκαρδίτιδα και ο HIV)
- φαρμακευτική αγωγή
- τοξικούς παράγοντες (όπως ορισμένα χημειοθεραπευτικά ή η κατάχρηση αλκοόλ).
Τέλος, αίτια αποτελούν και λιγότερο συχνές καταστάσεις όπως διηθητικά νοσήματα (π.χ. αμυλοείδωση, σαρκοείδωση), μεταβολικές διαταραχές, παθήσεις του περικαρδίου και νευρομυϊκά νοσήματα.
Η αναγνώριση του υποκείμενου αιτίου είναι καθοριστική για τη στοχευμένη αντιμετώπιση και την έκβαση του ασθενούς.
Ορισμένοι παράγοντες αυξάνουν σημαντικά τον κίνδυνο εμφάνισης της καρδιακής ανεπάρκειας.
Οι παράγοντες αυτοί είναι οι κάτωθι:
- Οικογενειακό ιστορικό καρδιακής ανεπάρκειας: Υποδηλώνει γενετική προδιάθεση ή κοινή έκθεση σε παράγοντες κινδύνου.
- Χρήση καπνού, αλκοόλ ή ναρκωτικών ουσιών: Οι ουσίες αυτές προκαλούν τοξική βλάβη στο μυοκάρδιο και διαταράσσουν τον καρδιακό ρυθμό.
- Αρτηριακή υπέρταση: Η χρόνια αρτηριακή υπέρταση οδηγεί σε καρδιακή δυσλειτουργία, αυξάνοντας τις πιθανότητες καρδιακής ανεπάρκειας.
- Ισχαιμική αιτιολογία: Η βλάβη στον καρδιακό μυ μειώνει την ικανότητα άντλησης αίματος.
Με ποια συμπτώματα εκδηλώνεται η καρδιακή ανεπάρκεια;
Οι ασθενείς με καρδιακή ανεπάρκεια εμφανίζουν συνήθως συμπτώματα που εξελίσσονται προοδευτικά, καθώς η καρδιά αδυνατεί να ανταποκριθεί στις ανάγκες του οργανισμού.
Στα αρχικά στάδια, παρατηρείται δύσπνοια κατά τη σωματική κόπωση, η οποία μπορεί να επιδεινωθεί και να εμφανίζεται ακόμη και σε κατάσταση ηρεμίας. Συχνά η δύσπνοια συνοδεύεται από οίδημα στα κάτω άκρα και αύξηση του σωματικού βάρους λόγω κατακράτησης υγρών. Μια ακόμη ένδειξη είναι η έντονη κόπωση, ακόμη και εάν ο ασθενής συμμετέχει σε κάποια ήπια δραστηριότητα.
Μερικά ακόμη, λιγότερο τυπικά συμπτώματα είναι τα κάτωθι:
- Νυχτερινός βήχας : Οφείλεται σε πνευμονική συμφόρηση, συχνά επιδεινώνεται όταν ο ασθενής ξαπλώνει.
- Συριγμός : Μπορεί να εμφανιστεί λόγω πνευμονικής συμφόρησης και συγχέεται με συμπτώματα άσθματος (“καρδιογενές άσθμα”)
- Αίσθημα φουσκώματος: Προκαλείται από συμφόρηση στο ήπαρ και στο πεπτικό σύστημα.
- Απώλεια όρεξης: Συχνή σε προχωρημένη καρδιακή ανεπάρκεια, συνδέεται με γαστρεντερική συμφόρηση.
- Σύγχυση (ιδίως σε ηλικιωμένους): Οφείλεται στη μειωμένη εγκεφαλική αιμάτωση και είναι σημαντικό σημάδι απορρύθμισης.
- Κατάθλιψη: Πολύ συχνή στους ασθενείς με χρόνια νόσο, επιδρά στην ποιότητα ζωής και την έκβαση.
- Αίσθημα παλμών : Η καρδιά προσπαθεί να αντισταθμίσει την ανεπάρκεια με αύξηση του ρυθμού.
- Ζάλη ή Συγκοπή: Μπορεί να σχετίζεται με χαμηλή καρδιακή παροχή ή αρρυθμίες
Μεταξύ των πιο ειδικών κλινικών σημείων καρδιακής ανεπάρκειας περιλαμβάνονται:
- αυξημένη πίεση της σφαγίτιδας φλέβας.
- παρουσία τρίτου καρδιακού τόνου με χαρακτηριστική ρυθμική χροιά
- μετατόπιση της καρδιακής ώσης προς τα πλάγια, που συχνά αντανακλά διόγκωση της αριστερής κοιλίας.
Αυτά τα ευρήματα είναι ιδιαίτερα ενδεικτικά καρδιακής δυσλειτουργίας και βοηθούν στη διάγνωση σε συνδυασμό με τα συμπτώματα του ασθενούς.
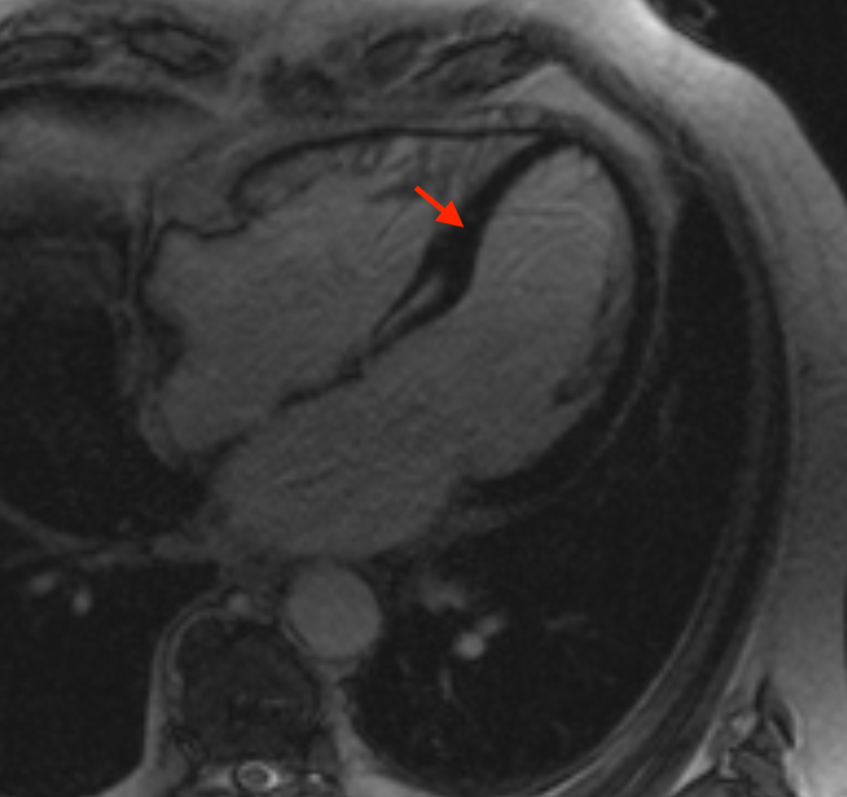
Kαρδιακη ανεπάρκεια.
Kαρδιακή μαγνητική τομογραφία (CMR) σε προβολή τεσσάρων κοιλοτήτων, με χρήση σκιαγραφικού (gadolinium) με γραμμική πρόσληψη σκιαγραφικού στο μεσαίο στρώμα του μεσοκοιλιακού διαφράγματος (mid-wall sign). Είναι χαρακτηριστικό για ιδιοπαθή διατατική μυοκαρδιοπάθεια
Kαρδιακή ανεπάρκεια.
Η εικόνα είναι μια T1 mapping ακολουθία από μαγνητική τομογραφία καρδιάς (CMR T1 map) σε ασθενη με μυοκαρδιοπάθεια TAKOTSUBO
Πώς πραγματοποιείται η διάγνωση;
Η διάγνωση της καρδιακής ανεπάρκειας αποτελεί μια σύνθετη διαδικασία. Αρχικά, πραγματοποιείται λεπτομερής λήψη ιατρικού ιστορικού και κλινική εξέταση, με στόχο την αναγνώριση χαρακτηριστικών συμπτωμάτων.
Στη συνέχεια, διενεργείται ηλεκτροκαρδιογράφημα (ΗΚΓ) για την αξιολόγηση του καρδιακού ρυθμού και την ανίχνευση πιθανών αρρυθμιών. Επίσης, το triplex καρδιάς αποτελεί βασική απεικονιστική εξέταση για τη διάγνωση της καρδιακής ανεπάρκειας.
Οι εξετάσεις αίματος συμβάλλουν και αυτές στη διάγνωση και στην εκτίμηση της σοβαρότητας της κατάστασης. Σε ορισμένες περιπτώσεις, ενδέχεται να απαιτηθούν περαιτέρω εξετάσεις, όπως στεφανιογραφία, αξονική η μαγνητική τομογραφία καρδιάς κ.ά. για τον εντοπισμό της υποκείμενης αιτίας. Μετά την ολοκλήρωση των διαγνωστικών εξετάσεων, ακολουθεί η σταδιοποίηση της νόσου, η οποία καθοδηγεί την επιλογή της κατάλληλης θεραπευτικής προσέγγισης.
Καρδιακή ανεπάρκεια & Θεραπεία
Η θεραπεία της καρδιακής ανεπάρκειας προσαρμόζεται ανάλογα με την υποκείμενη αιτία και τη βαρύτητα της κατάστασης.
Σε περιπτώσεις ισχαιμικής αιτιολογίας, όπως η στεφανιαία νόσος, εφαρμόζονται επεμβατικές μέθοδοι, όπως η αγγειοπλαστική με τοποθέτηση stent ή η αορτοστεφανιαία παράκαμψη (bypass). Οι ασθενείς λαμβάνουν φαρμακευτική αγωγή που περιλαμβάνει β-αναστολείς, αναστολείς του μετατρεπτικού ενζύμου της αγγειοτενσίνης, SGLT2 αναστολείς (ή αναστολείς συμμεταφορέα νατρίου-γλυκόζης τύπου 2) κ.ά.
Επίσης, η χορήγηση διουρητικών φαρμάκων είναι σημαντική για τη μείωση του ενδοαγγειακού όγκου και την αντιμετώπιση της κατακράτησης υγρών. Παράλληλα, οι αλλαγές στον τρόπο ζωής είναι καθοριστικές για τη διαχείριση της νόσου.
Σε προχωρημένες περιπτώσεις μπορεί να απαιτηθεί η χρήση συσκευών, όπως αμφικοιλιακοί βηματοδότες ή εμφυτεύσιμοι απινιδωτές, ενώ σε σοβαρές καταστάσεις ενδέχεται να χρειαστεί υποστήριξη με συσκευές μηχανικής υποβοήθησης της καρδιάς ή ακόμη και μεταμόσχευση καρδιάς.
Εάν παρουσιάζετε συμπτώματα που ενδέχεται να σχετίζονται με καρδιακή ανεπάρκεια, είναι σημαντικό να αναζητήσετε άμεσα ιατρική αξιολόγηση. Ο Καρδιολόγος Γεώργιος Ζαρογιάννης είναι στη διάθεσή σας για τη διάγνωση και τη σωστή διαχείριση των καρδιολογικών προβλημάτων. Ο ιατρός έχει εργαστεί σε ιατρείο καρδιακής ανεπάρκειας για δύο χρόνια και έχει αντιμετωπίσει με επιτυχία πολλά περιστατικά. Επικοινωνήστε μαζί μας για να προγραμματίσετε το ραντεβού σας.


