Τι ορίζεται ως ισχαιμική μυοκαρδιοπάθεια;
Η ισχαιμική μυοκαρδιοπάθεια αποτελεί μία σοβαρή μορφή καρδιομυοπαθειας που οφείλεται στην ανεπαρκή αιμάτωση και οξυγόνωση του μυοκαρδίου και μπορεί να οδηγήσει σε σημαντικές διαταραχές λειτουργικότητας της καρδιάς όπως μείωση του κλάσματος εξώθησης. Η παθοφυσιολογία της συνδέεται κυρίως με τη στένωση ή απόφραξη των στεφανιαίων αρτηριών, των αγγείων που εξασφαλίζουν την αιματική τροφοδοσία της καρδιάς. Οι αρτηρίες αυτές μεταφέρουν οξυγόνο και ζωτικές θρεπτικές ουσίες στα καρδιακά κύτταρα. Επομένως, κάθε διαταραχή στη ροή του αίματος μπορεί να προκαλέσει σημαντική δυσλειτουργία στο καρδιαγγειακό σύστημα.
Ο όρος «ισχαιμία» αναφέρεται σε μείωση της αιματικής ροής και της παροχής οξυγόνου προς έναν ιστό. Όταν η ισχαιμία εντοπίζεται στο μυοκάρδιο, μιλάμε για καρδιακή ισχαιμία. Είναι μία δυνητικά επικίνδυνη κατάσταση, η οποία, εάν δεν αντιμετωπιστεί έγκαιρα, ενδέχεται να οδηγήσει σε έμφραγμα του μυοκαρδίου.
Είναι η ισχαιμική μυοκαρδιοπάθεια και η στεφανιαία νόσος το ίδιο;
Αν και οι δύο όροι χρησιμοποιούνται συχνά εναλλακτικά, δεν είναι ταυτόσημοι. Η ισχαιμική μυοκαρδιοπάθεια αποτελεί συχνά συνέπεια της στεφανιαίας νόσου, ωστόσο δεν ταυτίζεται απαραίτητα με αυτή. Για παράδειγμα, μπορεί να εμφανιστεί ισχαιμία του μυοκαρδίου, όταν οι μεταβολικές ανάγκες της καρδιάς σε οξυγόνο υπερβαίνουν την παροχή που εξασφαλίζεται από τη ροή του αίματος, ακόμη και αν οι στεφανιαίες αρτηρίες δεν παρουσιάζουν σημαντική στένωση.
Αντίστοιχα, είναι δυνατόν να υπάρχει στεφανιαία νόσος χωρίς εκδηλώσεις ισχαιμίας. Η παρουσία αθηρωματικών πλακών στις αρτηρίες, χωρίς να προκαλούν ουσιαστικό περιορισμό στη ροή του αίματος, υποδηλώνει στεφανιαία νόσο, χωρίς απαραίτητα να οδηγεί σε ισχαιμική βλάβη.
Ποια είναι τα αίτια εμφάνισής της;
Η ισχαιμική μυοκαρδιοπάθεια προκαλείται κυρίως από αθηροσκλήρωση των στεφανιαίων αρτηριών, δηλαδή τη δημιουργία και συσσώρευση αθηρωματικών πλακών στο εσωτερικό των αγγείων που μεταφέρουν αίμα στην καρδιά. Αποτελούνται από χοληστερόλη, λιπίδια, φλεγμονώδη κύτταρα και ινώδη ιστό.
Με την πάροδο του χρόνου οι αθηρωματικές πλάκες μπορεί να προκαλέσουν:
- Στένωση αγγείων, γεγονός που περιορίζει τη ροή αίματος προς το μυοκάρδιο.
- Ρήξη της αθηρωματικής πλάκας, με αποτέλεσμα τον σχηματισμό ενός θρόμβου που μπορεί να προκαλέσει οξεία απόφραξη.
- Χρόνια ολική απόφραξη στεφανιαίας αρτηρίας (γνωστή και ως CTO – Chronic Total Occlusion), η οποία, λόγω της παρατεταμένης ισχαιμίας, ενδεχομένως να οδηγησει σε νέκρωση του μυοκαρδίου και τελικά στη δημιουργία ουλής.
Με ποια συμπτώματα εκδηλώνεται η ισχαιμική μυοκαρδιοπάθεια;
Η κλινική εικόνα της ισχαιμικής μυοκαρδιοπάθειας ποικίλλει. Στις περισσότερες περιπτώσεις, τα συμπτώματα εκδηλώνονται κατά τη διάρκεια κάποιας δραστηριότητας ή ψυχολογικού στρες, όταν αυξάνονται οι απαιτήσεις του μυοκαρδίου σε οξυγόνο.
Τα συχνότερα συμπτώματα περιλαμβάνουν:
- Θωρακικό άλγος (στηθάγχη): Αίσθημα πίεσης, βάρους ή καψίματος στον θώρακα που μπορεί να αντανακλά στον ώμο, το σαγόνι ή τον αριστερό βραχίονα.
- Δύσπνοια: Δυσκολία στην αναπνοή, ιδιαίτερα κατά την άσκηση ή την έντονη δραστηριότητα.
- Κόπωση: Ανεξήγητη αίσθηση εξάντλησης, ακόμη και σε καταστάσεις ήπιας καταπόνησης.
- Εφίδρωση: Υπερβολική εφίδρωση, συχνά σε συνδυασμό με άλλα συμπτώματα.
- Αίσθημα παλμών (ταχυκαρδία ή αρρυθμία).
Αξιοσημείωτο είναι ότι σε ορισμένες περιπτώσεις, η ισχαιμική μυοκαρδιοπάθεια μπορεί να εξελίσσεται χωρίς να προκαλεί εμφανή συμπτώματα. Η κατάσταση αυτή είναι γνωστή ως σιωπηρή ισχαιμική μυοκαρδιοπάθεια και χαρακτηρίζεται από το γεγονός ότι, παρά τη μειωμένη οξυγόνωση του μυοκαρδίου, ο ασθενής δεν εμφανίζει στηθαγχικό άλγος ή άλλη τυπική συμπτωματολογία.
Πώς πραγματοποιείται η διάγνωση;
Η διάγνωση της ισχαιμικής μυοκαρδιοπάθειας, είτε παρουσιάζει κλινικά συμπτώματα είτε εξελίσσεται σιωπηρά, απαιτεί εμπεριστατωμένη ιατρική εκτίμηση.
Ο καρδιολόγος λαμβάνει αναλυτικό ατομικό και οικογενειακό ιστορικό και αξιολογεί αιματολογικές εξετάσεις που σχετίζονται με καρδιαγγειακούς παράγοντες κινδύνου. Ανάλογα με τα ευρήματα των εξετάσεων ενδέχεται να προταθούν εξετάσεις όπως ηλεκτροκαρδιογράφημα (ΗΚΓ), υπερηχοκαρδιογράφημα, τεστ κοπώσεως, στεφανιογραφία ή καρδιακή απεικόνιση με αξονική ή μαγνητική τομογραφία.
Ο συστηματικός καρδιολογικός έλεγχος συμβάλλει καθοριστικά στην έγκαιρη ανίχνευση τυχόν προβλημάτων και στην αποτροπή επιπλοκών.
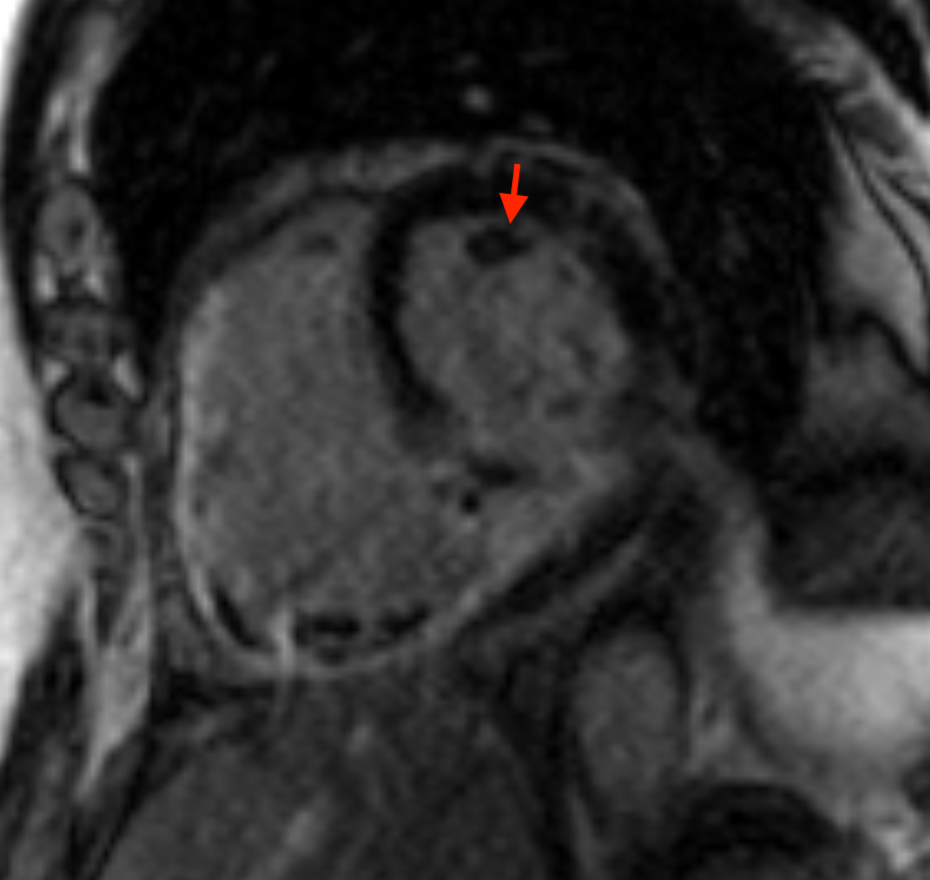
Ισχαιμική μυοκαρδιοπάθεια.
Εικόνα απο μαγνητική τομογραφία καρδίας μετα από έμφραγμα του οπίσθιου καρδιακού τοιχώματος με δημιουργία θρόμβου
Ποια είναι η κατάλληλη θεραπεία για την ισχαιμική καρδιοπάθεια;
Η πρώτη γραμμή θεραπείας για την αντιμετώπιση της ισχαιμικής μυοκαρδιοπάθειας περιλαμβάνει και τη λήψη φαρμακευτικής αγωγής. Οι στατίνες μειώνουν τη χοληστερόλη, ενώ τα αντιυπερτασικά, τα αντιαιμοπεταλιακά και τα νιτρώδη φάρμακα συμβάλλουν στη ρύθμιση της πίεσης, την πρόληψη θρόμβων και την ανακούφιση από τη στηθάγχη.
Επιπλέον, στα αρχικά στάδια της ισχαιμικής μυοκαρδιοπάθειας, η θεραπευτική προσέγγιση επικεντρώνεται και σε συντηρητικά μέτρα που αποσκοπούν:
- στη σταθεροποίηση της νόσου.
- στη βελτίωση της αιματικής ροής.
- στη μείωση του καρδιαγγειακού κινδύνου.
Οι παρεμβάσεις αυτές περιλαμβάνουν:
- Υιοθέτηση υγιεινής διατροφής: Διατροφή πλούσια σε φρούτα, λαχανικά, δημητριακά ολικής άλεσης και ψάρια, περιορίζοντας τα κορεσμένα λιπαρά, το αλάτι και τις επεξεργασμένες τροφές.
- Αύξηση της σωματικής δραστηριότητας: Ήπια άσκηση εβδομαδιαία σύμφωνα με τις οδηγίες του θεράποντος ιατρού.
- Απώλεια σωματικού βάρους: Ιδιαίτερα σε άτομα υπέρβαρα ή παχύσαρκα, η μείωση του βάρους συμβάλλει σημαντικά στη βελτίωση λειτουργίας του καρδιαγγειακού συστήματος.
- Διακοπή καπνίσματος: Το κάπνισμα αποτελεί έναν από τους σημαντικότερους αναστρέψιμους παράγοντες κινδύνου για ισχαιμική καρδιοπάθεια.
- Περιορισμός κατανάλωσης αλκοόλ: Πλήρης αποχή, ιδίως σε ασθενείς με συνοδά νοσήματα. Σε ασθενείς με χωρίς συνοδά νοσήματα συστήνεται κατανάλωση με μέτρο.
Η έγκαιρη εφαρμογή των παραπάνω μέτρων μπορεί:
- να επιβραδύνει την εξέλιξη της νόσου.
- να περιορίσει τις επιπλοκές.
να μειώσει την ανάγκη για επεμβατική θεραπεία σε κάποιες περιπτώσεις.
Επεμβατικές θεραπείες ισχαιμικής καρδιοπάθειας
Η αντιμετώπιση της ισχαιμικής καρδιοπάθειας περιλαμβάνει και επεμβατικές και χειρουργικές θεραπείες, όταν η φαρμακευτική αγωγή και οι συντηρητικές παρεμβάσεις δεν επαρκούν.
Οι κύριες επιλογές είναι οι κάτωθι:
- Διαδερμική στεφανιαία παρέμβαση (PCI)
- Αορτοστεφανιαία παράκαμψη (CABG)
Εμφυτεύσιμες Συσκευές
- Αυτόματος εμφυτεύσιμος απινιδωτής (ICD): Συσκευή που τοποθετείται υποδορίως και ανιχνεύει απειλητικές για τη ζωή αρρυθμίες. Όταν τις ανιχνεύσει χορηγεί ηλεκτρική εκκένωση, για να αποκαταστήσει τον φυσιολογικό ρυθμό της καρδιάς, προλαμβάνοντας έτσι τον αιφνίδιο καρδιακό θάνατο.
- Θεραπεία καρδιακού επανασυγχρονισμού (CRT): Βηματοδότης με τρία ηλεκτρόδια που συγχρονίζει τις κοιλίες, βελτιώνοντας την αιμοδυναμική λειτουργία της καρδιάς.
Εάν παρουσιάζετε συμπτώματα που ενδέχεται να σχετίζονται με ισχαιμική καρδιοπάθεια, είναι σημαντικό να αναζητήσετε άμεσα ιατρική βοήθεια. Ο Επεμβατικός Καρδιολόγος Γεώργιος Ζαρογιάννης είναι στη διάθεσή σας για τη διάγνωση και τη σωστή διαχείριση των καρδιολογικών προβλημάτων. Επικοινωνήστε μαζί μας και κλείστε το ραντεβού σας.

