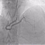
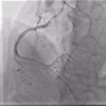
Διάνοιξη Χρονίων Ολικών Αποφράξεων (CTO)

διάνοιξη ολικών αποφράξεων

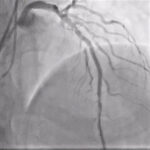
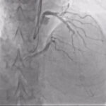
Η διάνοιξη χρόνιων ολικών αποφράξεων αποτελεί μία από τις πιο απαιτητικές και εξειδικευμένες παρεμβάσεις στον τομέα της επεμβατικής καρδιολογίας. Αναφέρεται στην προσπάθεια αποκατάστασης της αιματικής ροής στεφανιαίων αρτηριών που έχουν πλήρως αποφραχθεί για διάστημα μεγαλύτερο των τριών μηνών.

Παρά τις τεχνικές δυσκολίες, οι σύγχρονες τεχνικές και η εμπειρία των εξειδικευμένων καρδιολόγων έχουν αυξήσει σημαντικά τα ποσοστά επιτυχίας, προσφέροντας ανακούφιση από τα συμπτώματα και βελτίωση της καρδιακής λειτουργίας.

Τι είναι οι  χρόνιες ολικές αποφράξεις;

Οι χρόνιες ολικές αποφράξεις των στεφανιαίων αγγείων αποτελούν την πιο προχωρημένη εκδήλωση της στεφανιαίας νόσου. Πρόκειται για πλήρη απόφραξη μιας στεφανιαίας αρτηρίας που διαρκεί περισσότερο από τρεις μήνες. Αυτό έχει ως αποτέλεσμα την  πλήρη διακοπή της ροής αίματος.

Το ισχαιμικό τμήμα του μυοκαρδίου αιματώνεται παθητικά μέσω παράπλευρων αγγειακών κλάδων, οι οποίοι επαρκούν για τη διατήρηση της ζωής του ιστού, όχι όμως και για την πλήρη κάλυψη των μεταβολικών του αναγκών, ιδίως κατά την άσκηση.

Η πιο συχνή κλινική εκδήλωση της κατάστασης είναι η στηθάγχη που σχετίζεται με την ανεπαρκή παροχή οξυγόνου στο μυοκάρδιο. Λόγω της πολυπλοκότητάς τους οι χρόνιες ολικές αποφράξεις απαιτούν την εφαρμογή εξειδικευμένων τεχνικών για την επιτυχή διάνοιξή τους.

Διάνοιξη χρόνιων ολικών αποφράξεων: Σε ποιες περιπτώσεις ενδείκνυται;

Η απόφαση για τη διενέργεια αγγειοπλαστικής με σκοπό τη διάνοιξη μιας χρόνιας ολικής απόφραξης βασίζεται σε συγκεκριμένα κλινικά και λειτουργικά κριτήρια, καθώς και σε απεικονιστικά ευρήματα. Η επιλογή των κατάλληλων ασθενών είναι καθοριστικής σημασίας για την επιτυχία της παρέμβασης και την αποφυγή περιττών κινδύνων.

Πιο συγκεκριμένα, οι ενδείξεις για τη διάνοιξη χρόνιων ολικών αποφράξεων είναι οι κάτωθι:

  1. Συμπτωματική στηθάγχη ή ισχαιμία

Η πιο καθιερωμένη ένδειξη για τη διάνοιξη χρόνιας ολικής απόφραξης είναι η ύπαρξη στηθάγχης, δηλαδή θωρακικού άλγους ή δυσφορίας που σχετίζεται με σωματική προσπάθεια ή συναισθηματική φόρτιση.  Ακόμα και σε ασυμπτωματικούς ασθενείς, η ύπαρξη εκτεταμένης ισχαιμίας αποτελεί ισχυρή ένδειξη.

  1. Διατήρηση βιωσιμότητας του μυοκαρδίου

Η επαναιμάτωση μέσω διάνοιξης της χρόνιας ολικής απόφραξης ενδείκνυται, όταν το μυοκάρδιο παραμένει λειτουργικά βιώσιμο. Σε αυτή την περίπτωση ο μυοκαρδιακός ιστός διατηρείται ζωντανός, αλλά η λειτουργία του είναι μειωμένη λόγω της μακροχρόνιας ανεπαρκούς αιμάτωσης.

  1. Ανεπαρκής ανταπόκριση στη φαρμακευτική αγωγή

Ασθενείς που εξακολουθούν να παρουσιάζουν συμπτώματα στηθάγχης ή δύσπνοια παρά τη φαρμακευτική θεραπεία είναι ιδανικοί υποψήφιοι.

  1. Πολυαγγειακή στεφανιαία νόσος

Στην περίπτωση της πολυαγγειακής στεφανιαίας νόσου, η διάνοιξη χρόνιας ολικής απόφραξης μπορεί να συμβάλει στην επίτευξη πλήρους επαναιμάτωσης σε ασθενείς με προσβολή πολλαπλών στεφανιαίων αγγείων.

  1. Καρδιακή ανεπάρκεια με μειωμένο κλάσμα εξώθησης

Η διάνοιξη χρόνιας ολικής απόφραξης ενδείκνυται σε ασθενείς με συστολική δυσλειτουργία της αριστερής κοιλίας, όταν τεκμηριώνεται η παρουσία βιώσιμου μυοκαρδίου και η δυνατότητα λειτουργικής ανάκαμψης μετά την επαναιμάτωση.

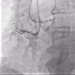
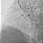
Τεχνικές Προσπέλασης για τη Διάνοιξη χρόνιων ολικών αποφράξεων

Η ορθόδρομη προσπέλαση αποτελεί την πλέον συχνά χρησιμοποιούμενη τεχνική στη διάνοιξη χρόνιας ολικής απόφραξης. Περιλαμβάνει την προσπέλαση της βλάβης από το εγγύς προς το περιφερικό άκρο της αρτηρίας, ακολουθώντας τη φυσιολογική φορά της αιματικής ροής.

Αν και είναι τεχνικά πιο απλή συγκριτικά με την οπισθόδρομη, ωστόσο η επιτυχία της περιορίζεται σε περιπτώσεις εκτεταμένης ασβέστωσης ή όταν η είσοδος της απόφραξης είναι ασαφής.

Από την άλλη, η ανάδρομη προσπέλαση εφαρμόζεται όταν η ορθόδρομη τεχνική αποτυγχάνει ή θεωρείται υψηλού κινδύνου. Αν και προσφέρει υψηλότερα ποσοστά επιτυχίας σε δύσκολες βλάβες, η ανάδρομη τεχνική απαιτεί μεγάλη εμπειρία και εγκυμονεί αυξημένο κίνδυνο επιπλοκών.

Ποια είναι τα οφέλη για τον ασθενή;

Η διάνοιξη μιας χρόνιας ολικής απόφραξης, όταν πραγματοποιείται σε κατάλληλους ασθενείς και από εξειδικευμένες ομάδες, προσφέρει σημαντικά κλινικά και λειτουργικά οφέλη.

Πιο συγκεκριμένα, τα οφέλη της διάνοιξης χρόνιων ολικών αποφράξεων για τον ασθενή είναι τα κάτωθι:

  • Ανακούφιση από συμπτώματα στηθάγχης
    Μείωση ή εξαφάνιση του θωρακικού πόνου και της δυσφορίας, με αποτέλεσμα την αύξηση της αντοχής.
  • Βελτίωση της ποιότητας ζωής
    Σημαντική ενίσχυση της καθημερινής λειτουργικότητας του ασθενούς, της ψυχολογικής κατάστασης και μείωση της εξάρτησης από φαρμακευτική αγωγή.
  • Αποφυγή χειρουργικής επέμβασης
    Η επιτυχής αγγειοπλαστική μειώνει την ανάγκη για αορτοστεφανιαία παράκαμψη, ειδικά σε ασθενείς υψηλού κινδύνου.
  • Βελτίωση της πρόγνωσης
    Η συμμετοχή της διάνοιξης στη συνολική επαναιμάτωση συμβάλλει στη μείωση των καρδιακών επεισοδίων.

Εάν έχετε διαγνωστεί με χρόνια ολική απόφραξη ή αντιμετωπίζετε επίμονα καρδιολογικά συμπτώματα, είναι σημαντικό να απευθυνθείτε σε έναν εξειδικευμένο και έμπειρο καρδιολόγο. Ο Καρδιολόγος Γεώργιος Ζαρογιάννης διαθέτει εκπαίδευση και πολυετή εμπειρία στην αποκατάσταση σύνθετων στεφανιαίων βλαβών, προσφέροντας εξατομικευμένες και αποτελεσματικές λύσεις. Επικοινωνήστε μαζί μας, για να προγραμματίσετε το ραντεβού σας.

Γιώργος Ζαρογιάννης

Επεμβατικός Καρδιολόγος

Ο Γεώργιος Ζαρογιάννης είναι επεμβατικός καρδιολόγος και επιστημονικός συνεργάτης της Ευρωκλινικής Αθηνών.
Ο Δρ. Ζαρογιάννης είναι απόφοιτος του Αριστοτελείου Πανεπιστημίου Θεσσαλονίκης και Διδάκτωρ της ιατρικής σχολής του Πανεπιστημίου Goethe Φρανκφούρτης.
Έχει εξειδικευθεί στο Augusta Hospital Düsseldorf και Elisabeth Hospital Essen και διαθέτει μακρόχρονη εμπειρία στη θεραπεία της Στεφανιαίας νόσου (σύμπλοκες στενώσεις, χρόνιες ολικές αποφράξεις) και Βαλβιδοπαθειών (Αορτική Στένωση, Ανεπάρκεια Μιτροειδούς/Τριγλώχινας-MitraClip/TriClip)

Επεμβατικός Καρδιολόγος